编者按
2024年是新中国成立75周年,是实施“十四五”规划目标任务的关键之年。在这一新的历史起点上,新疆维吾尔自治区人民医院迎来90周年华诞。
回首来时路,岁月峥嵘,年华无悔。90年辉煌岁月,全院职工秉承着“仁爱 诚信 博学 严谨”的院训,追求卓越、自强不息;90年筑梦流年,遵循着“敬佑生命、救死扶伤、甘于奉献、大爱无疆”的精神,精益求精,厚德至善。90年砥砺前行,医院学科建设持续发展,以科技创新引领医院高质量发展。
奋进九十、迈进一百!在医院建院90周年之际,我们开设【医心九十载 筑梦新时代】专栏,从党建引领、学科建设、医疗安全、优质服务、人文关怀等方面,多角度多层次展现医院90华诞系列院庆活动,同心携手献礼建院90周年。
9月27日,在北京大学人民医院心血管内科王伟民教授指导下,新疆维吾尔自治区人民医院党委副书记、院长杨毅宁团队为一位42岁难治性高血压患者实施了肾动脉交感神经射频消融术(又称RDN高血压介入治疗)。这是今年4月RDN消融系统在国内上市后,西北地区实施的首例肾动脉交感神经射频消融术,标志着新疆对高血压传统疗法的新突破,为疆内及周边地区难治性高血压患者带来了曙光。
患者因原发性高血压间断头晕、头痛8年,期间他曾多次调整用药,血压控制仍不理想,寻求更好的治疗方法。经过多次会诊及讨论,心脏及泛血管医学诊疗中心团队认为,肾动脉交感神经射频消融术是最适合患者的治疗方式。9月24日,患者入住自治区人民医院心脏及泛血管医学诊疗中心,完善术前筛查。

术前专家讨论
自治区人民医院心脏及泛血管医学诊疗中心主任李国庆介绍,肾脏是调节、控制人体血压的重要器官,肾脏交感神经过于兴奋,持续释放去甲肾上腺素等物质,就会导致血压升高。肾动脉交感神经射频消融术是通过射频能量对分布于肾动脉的交感神经进行消融,抑制肾动脉周围过度兴奋的交感神经,减少交感神经系统对肾血管阻力、肾素释放和钠重吸收的影响,从而达到长期降压的目的。

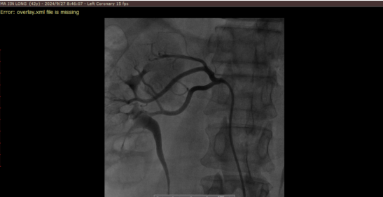
造影图
心脏及泛血管医学诊疗中心团队制定了周密的手术方案,经过充分的术前准备,9月27日7时,患者被推入手术室。在王伟民教授指导下,在先进的医疗设备辅助下,杨毅宁、李国庆、心内四病区副主任余小林、心内四病区副主任郭自同等专家组成的手术团队巧妙地将一根细长的导管精准送入患者肾动脉区域,随后精准操作射频能量,对患者大于等于3mm的肾动脉交感神经进行了细致入微的消融治疗,共有效消融靶点63个。整个手术用时仅一个小时,患者术后血压平稳,安返病房。
杨毅宁说,2022年,美国心血管造影和介入学会(SCAI)和美国国家肾脏基金会(NKF)专家组发表专家共识,指出肾动脉交感神经射频消融术治疗难治性高血压有效且安全。因此,该手术成为新的技术热点,将以独特的优势和良好的效果,为广大难治性高血压患者带来福音。自治区人民医院心脏及泛血管医学诊疗中心主动突破传统治疗方法,引进这项技术,彰显了医疗团队在医学创新道路上的坚定步伐,也是对新疆医疗技术实力的一次有力证明。