编者按
为全面贯彻落实党的二十大精神,解决人民群众看病就医急难愁盼问题,进一步优化医疗服务,提升患者体验,不断满足人民群众日益增长的美好生活需要,根据国家卫生健康委、国家中医药局印发《关于开展改善就医感受提升患者体验主题活动的通知》(国卫医政发[2023]11号)文件精神,新疆维吾尔自治区人民医院结合实际情况,启动“改善就医感受 提升患者体验”主题活动,重点优化医疗服务,改善全过程就医感受,提升患者体验,保障人民群众享有公立医院高质量发展成果。坚持以病人为中心,全面梳理医疗服务流程,充分运用新手段、新技术、新模式,加快形成医疗流程更科学、模式更连续、服务更高效、环境更舒适、态度更体贴的中国式现代化医疗服务模式,进一步增强人民群众就医获得感、幸福感、安全感。
医院微信公众号特推出“改善就医感受 提升患者体验”系列报道,从更先进的技术、更便捷的流程、更暖心的文化、更优化的流程等方面,精耕细作、精益求精,全力打造温度医疗,全方位、多角度展现医院改善就医体验工作的具体举措及成效。
近日,新疆维吾尔自治区人民医院神经外科诊疗中心功能组团队完成了院内首例应用新靶点脑深部电刺激术(DBS)治疗特发性震颤(ET)的手术,为特发性震颤患者开辟了新的治疗路径。
就诊经过
74岁的张先生患有特发性震颤已经20多年,起初只是手轻微抖动,近年来发展到头颈部也颤抖,喝水时杯子都递不到嘴边,生活无法自理。张先生辗转数家医院,反复调整药量,仍然改善有限,被诊断为药物难治性原发性震颤。
张先生一筹莫展,后来一位朋友告诉他,家中亲人患有严重的帕金森病,在自治区人民医院治疗后效果非常好。于是,张先生慕名而来,就诊于自治区人民医院神经外科诊疗中心功能疾病组。
病情分析
组长阿布都克尤木·吉力力说,特发性震颤和帕金森病都属于运动障碍性疾病,特发性震颤基本集中在上肢或头部,病程进展较帕金森病更缓慢一些,但也有部分患者后期会转变为帕金森病,应尽早控制疾病进展。
脑深部电刺激术是一种在脑内特定靶点植入刺激电极进行高频电刺激以达到治疗目的的手术方法,拥有可调控性、微创性、长期有效性,是目前治疗各类运动障碍性疾病的首选外科治疗方式。阿布都克尤木·吉力力介绍,以往治疗特发性震颤主要选择丘脑腹中间核团进行刺激,但有部分患者出现疗效减退的问题。近年来,新的靶点核团不断被证实,其中就包括丘脑底核后部区域(PSA),长期疗效更为理想。
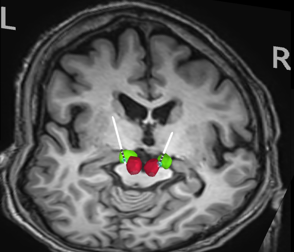
手术经过

阿布都克尤木·吉力力团队手术中

手术靶点位置
考虑到张先生病程较长、药物控制不佳、功能受损严重等情况,功能疾病组团队决定通过新靶点丘脑底核后部区域,为他进行脑深部电刺激术。手术当日,阿布都克尤木·吉力力团队在高清核磁影像融合技术的引导下,向靶点位置精准植入刺激电极,术中临时放电刺激即见老人手部震颤显著改善。
术后第二天,张先生就能下床活动,术后复查发现电极位置精准,20多年来,老人终于不再“抖”了。
自治区人民医院院长助理、神经外科诊疗中心吴永刚介绍,近年来自治区人民医院神经外科诊疗中心神经调控技术发展迅速,对各类复杂的运动障碍性疾病如中晚期帕金森病、痉挛性斜颈、梅杰综合征(眼睑痉挛—口下颌肌张力障碍)、特发性震颤等,先后开展了脑深部电刺激术治疗。未来,中心将继续探索和创新,努力提升新疆地区功能性疾病诊治水平,为患者带来福音。